Retina Gallery ~ Full Sized Retina Images
Library of Free, Non-Copyrighted Retina Images and Videos
Algus
Kontakt
About Us
Registreeru
Logi sisse
Albumite nimekiri
Viimati lisatud
Viimased kommentaarid
Enimvaadatud
Kõrgeimalt hinnatud
Minu lemmikud
Kuupäeva järgi
Otsing
FAQ
Vali keel:
FAIL 65/454
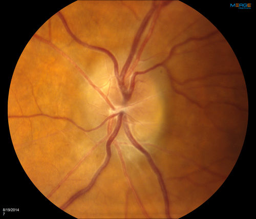
Bilateral Papilledema
Young male presents with decreased vision in both eyes. Fundus photos reveal swollen optic nerves in both eyes.
Faili info
Faili nimi:
322_007.JPG
Albumi nimi:
/
Papilledema
Hinnang (1 häälega):
(
Näita üksikasju
)
Võtmesõnad:
august2014
Attribution (if wanted) enter name or institution here: :
Mayo Clinic Jacksonville, Florida
Device with which Image was Captured::
TOPCON TRC 50EX
Faili maht:
6448 KiB
Lisamise aeg:
aug 25, 2014
Mõõtmed:
2392 x 2048 px
Näidatud:
1267 korda
URL:
https://retinagallery.com/displayimage.php?pid=7676
Lemmikud:
Lisa lemmikutesse