Retina Gallery ~ Full Sized Retina Images
Library of Free, Non-Copyrighted Retina Images and Videos
Startseite
Kontakt
About Us
Registrieren
Anmelden
Albenliste
Neueste Uploads
Neueste Kommentare
Am meisten angesehen
Am besten bewertet
Meine Favoriten
Nach Datum
Suche
FAQ
Wähle Sprache:
Datei 32/454
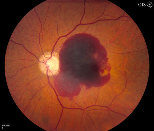
Retinal Hemorrhage
Fundus photography shows central retinal hemorrhage. Patient was treated with Avastin Injection and will be followed up in 4-weeks.
Datei-Information
Dateiname:
50284_002.JPG
Name des Albums:
/
Retinal Hemorrhage
Bewertung (2 Stimmen):
(
Details anzeigen
)
Schlüsselwörter:
september2013
Attribution (if wanted) enter name or institution here: :
Mayo Clinic Jacksonville, Florida
Device with which Image was Captured::
TOPCON TRC 50-EX
Dateigröße:
4556 KB
Hinzugefügt am:
11. September 2013
Abmessungen:
2392 x 2048 Pixel
Angezeigt:
1214 mal
URL:
https://retinagallery.com/displayimage.php?pid=6976
Favoriten:
zu Favoriten hinzufügen