Retina Gallery ~ Full Sized Retina Images

Library of Free, Non-Copyrighted Retina Images and Videos

Choisissez votre langue:
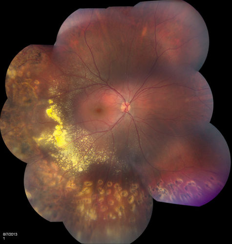
Coats' Disease with Cryotherapy 
Young male with Coat's Disease with Cryotherapy in the right eye. VA was 20/20, right eye. Left eye was completely normal. Patient will be followed up in 3-months.
Mots-clés: august2013

Coats' Disease with Cryotherapy

Young male with Coat's Disease with Cryotherapy in the right eye. VA was 20/20, right eye. Left eye was completely normal. Patient will be followed up in 3-months.

50880_003.JPG 50690_002.JPG 50150_001.JPG Giant_Retinal_Tear.jpg VH_WITH_PDR_3.jpg

Commentaire 1 to 1 of 1
Page: 1

CGUIER   [Mar 01 Octobre 2013 à 04:42]
Awesome montage

Commentaire 1 to 1 of 1
Page: 1