Retina Gallery ~ Full Sized Retina Images

Library of Free, Non-Copyrighted Retina Images and Videos

Choose your language:
Central Arterial Occlusion with Embolism Present
Patient comes in with CRAO in the right eye. VA was hand motion. Fundus photo shows white veil over the retina with 2-emboli in a branch artery temporal in the right eye. She will be evaluated for emboli and followed up in a month
Keywords: july2013

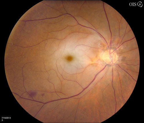
Central Arterial Occlusion with Embolism Present

Patient comes in with CRAO in the right eye. VA was hand motion. Fundus photo shows white veil over the retina with 2-emboli in a branch artery temporal in the right eye. She will be evaluated for emboli and followed up in a month

49822_006.JPG 49508_001.JPG 50065_003.JPG 50059_002.JPG 50030_004.JPG