Retina Gallery ~ Full Sized Retina Images
Library of Free, Non-Copyrighted Retina Images and Videos
Startseite
Kontakt
About Us
Registrieren
Anmelden
Albenliste
Neueste Uploads
Neueste Kommentare
Am meisten angesehen
Am besten bewertet
Meine Favoriten
Nach Datum
Suche
FAQ
Wähle Sprache:
Datei 59/297
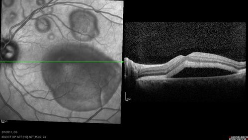
Acute Multifocal Vitelliform Exudative Maculopathy Left Eye At 1 Mo Follow Up
Datei-Information
Dateiname:
EJOS1.jpg
Name des Albums:
/
Acute Multifocal Vitelliform Exudative Maculopathy
Dateigröße:
608 KB
Hinzugefügt am:
09. März 2013
Abmessungen:
1536 x 868 Pixel
Angezeigt:
452 mal
URL:
https://retinagallery.com/displayimage.php?pid=6359
Favoriten:
zu Favoriten hinzufügen