Retina Gallery ~ Full Sized Retina Images
Library of Free, Non-Copyrighted Retina Images and Videos
Home
Contact
About Us
Register
Login
Album list
Last uploads
Last comments
Most viewed
Top rated
My Favorites
By date
Search
FAQ
Choose your language:
FILE 7/297
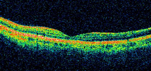
Occult Maculopathy - Thin Fovea on OCT and Normal Color VA, Photos, FA VA 20/80 OU
45-year-old man his mother and his maternal grandmother each had vision loss at a relatively young age. LINE SCAN SHOW FOVEAL ATROPHY
File information
Filename:
BOCT_OD_90DEG.jpg
Album name:
scohen125
/
Occult Macular Dystophy - 9 year follow-up
Filesize:
114 KiB
Date added:
Nov 08, 2010
Dimensions:
689 x 329 pixels
Displayed:
956 times
URL:
https://retinagallery.com/displayimage.php?pid=490
Favorites:
Add to Favorites