Retina Gallery ~ Full Sized Retina Images

Library of Free, Non-Copyrighted Retina Images and Videos

Choose your language:
Uveitis - Retinitis - Vasculitis - possibly Syphilitis
Visit 1: 12-06-12
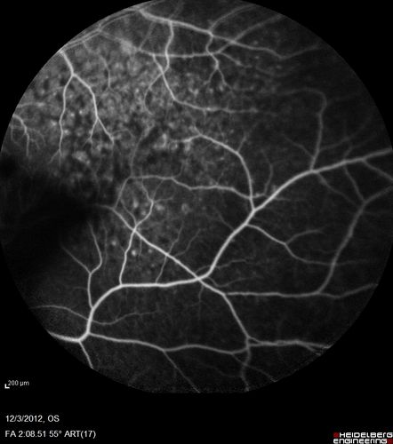
74-year-old man 12-3-12 visit.  2 months ago noticed vision loss, first in the right eye than the left.   He is getting tired easily.  He can’t walk for a long distance.  He has lost five pounds within the last month. He also had a severe itchy episode, but not quite a rash a few days ago, which went away after he took a shower.  FTA-ABS is positive but a spinal tap, which was negative.  OD 1/200,  OS 20/63.

Uveitis - Retinitis - Vasculitis - possibly Syphilitis

Visit 1: 12-06-12
74-year-old man 12-3-12 visit. 2 months ago noticed vision loss, first in the right eye than the left. He is getting tired easily. He can’t walk for a long distance. He has lost five pounds within the last month. He also had a severe itchy episode, but not quite a rash a few days ago, which went away after he took a shower. FTA-ABS is positive but a spinal tap, which was negative. OD 1/200, OS 20/63.

scar_anko_072817_10.jpg cat-scratch-bemo-041818_2weekfu_36.jpg mfc-astrocytoma-ryco_051118_19.jpg maretinitis_uveitis_pefo2_02061361.jpg maretinitis_uveitis_pefo2_02061365.jpg