Retina Gallery ~ Full Sized Retina Images

Library of Free, Non-Copyrighted Retina Images and Videos

Choose your language:
Acquired Toxoplasmosis Retinitis Para Foveal - Following Venison Consumption
56 year old man who became very sick after eating venison at the end of December 2019.  Presented 6 weeks later with a scotoma.  Initial photos show presentation with 20/63 vision.  Vision dropped to 5/200.  All tests (including PCR of anterior chamber tap) were negative except serum toxoplasmosis IgG and IgM.  Vision improved to 20/32 but the scotoma remained on oral trimetheprim/sulfa

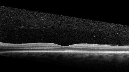
Acquired Toxoplasmosis Retinitis Para Foveal - Following Venison Consumption

56 year old man who became very sick after eating venison at the end of December 2019. Presented 6 weeks later with a scotoma. Initial photos show presentation with 20/63 vision. Vision dropped to 5/200. All tests (including PCR of anterior chamber tap) were negative except serum toxoplasmosis IgG and IgM. Vision improved to 20/32 but the scotoma remained on oral trimetheprim/sulfa

toxo_stmor1_021120_27.jpg toxoplasmosis1_borod_031919-_03.png toxo_stmor1_021120_12.jpg toxo_stmor1_021120_16.jpg toxo_stmor1_021120_22.jpg