Retina Gallery ~ Full Sized Retina Images
Library of Free, Non-Copyrighted Retina Images and Videos
Home
Contact
About Us
Register
Login
Album list
Last uploads
Last comments
Most viewed
Top rated
My Favorites
By date
Search
FAQ
Choose your language:
FILE 3/295
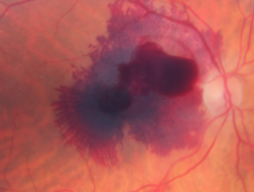
Ruptured Retinal Arterial Macroaneurysm - Submacular Hemorrhage - Vision 20/400 never recovered - Hypertension 205/94
File information
Filename:
maheme1_rowo03.png
Album name:
scohen125
/
Ruptured Arterial Macroaneurysm - Hourglass Hemorrhage
Filesize:
2762 KiB
Date added:
Feb 09, 2011
Dimensions:
1590 x 1200 pixels
Displayed:
1177 times
URL:
https://retinagallery.com/displayimage.php?pid=1793
Favorites:
Add to Favorites