Retina Gallery ~ Full Sized Retina Images

Library of Free, Non-Copyrighted Retina Images and Videos

Choose your language:
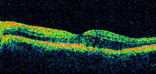
Diabetic Macular Edema and Hypertensive Retinopathy - Circinate Exudate (Ring Exudate) 
55-year-old woman diabetic for fifteen years and  high blood pressure, especially over the last few months.  She has had problems with nosebleeds, headaches, and there has been some difficulty bringing her blood pressure down.  She said now the blood pressure is under control but it was running 220/120 mmHg for some time.  Her vision in the right eye has been poor for four weeks with a spot in the central vision and both eyes have been blurred.

VISUAL ACUITY:  Vision OD is 20/160, OS is 20/60

Diabetic Macular Edema and Hypertensive Retinopathy - Circinate Exudate (Ring Exudate)

55-year-old woman diabetic for fifteen years and high blood pressure, especially over the last few months. She has had problems with nosebleeds, headaches, and there has been some difficulty bringing her blood pressure down. She said now the blood pressure is under control but it was running 220/120 mmHg for some time. Her vision in the right eye has been poor for four weeks with a spot in the central vision and both eyes have been blurred.

VISUAL ACUITY: Vision OD is 20/160, OS is 20/60

oneyearlater.png csmeexudatebdrmapa_60123_28429.jpg bdrhtncircex_kaba12.jpg bdrhtncircex_kaba10.jpg maclaserscarod_jomi05.png