Retina Gallery ~ Full Sized Retina Images
Library of Free, Non-Copyrighted Retina Images and Videos
Home
Contact
About Us
Register
Login
Album list
Last uploads
Last comments
Most viewed
Top rated
My Favorites
By date
Search
FAQ
Choose your language:
FILE 667/1175
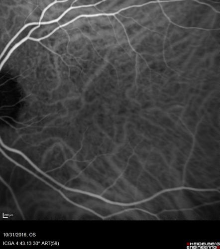
Submacular Hemorrhage - wet AMD
84 year old man with 20/200 from submacular hemorrhage. Vision improved to 20/32 with only Avastin therapy (no surgical intervention). The initial FAF is interesting because parts of the blood hyper auto fluoresce.
File information
Filename:
macHeme_alla_103116_32.jpg
Album name:
scohen125
/
Submacular Hemorrhage - Great Visual Outcome - Interesting FAF
Filesize:
262 KiB
Date added:
Sep 03, 2017
Dimensions:
768 x 868 pixels
Displayed:
353 times
URL:
https://retinagallery.com/displayimage.php?pid=10175
Favorites:
Add to Favorites