Retina Gallery ~ Full Sized Retina Images
Library of Free, Non-Copyrighted Retina Images and Videos
Inicio
Contacto
About Us
Regístrate
Entrar
Lista de álbumes
Últimos archivos
Últimos comentarios
Más vistos
Más valorados
Mis favoritos
Por fecha
Buscar
FAQ
Elige idioma:
Archivo 618/17965
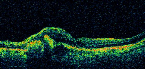
AMD - Wet - Fibrovascular Hemorrhagic PED - Occult CNVM
87-year-old woman for one month OS: 20/60 Fibrovascular PED and Hemorrhage
Informacion de archivo
Nombre del archivo:
lineos.jpg
Nombre de álbum:
scohen125
/
PED Fibrovascular PED Hemorrage
Palabras clave:
ped
/
fibrovascular
/
occult
/
hemorrhage
/
wet AMD
Tamaño del archivo:
80 KiB
Fecha añadida:
Noviembre 13, 2010
Dimensiones:
689 x 329 píxeles
Visto:
1074 visitas
URL:
https://retinagallery.com/displayimage.php?pid=656
Favoritos:
Añadir a favoritos