Retina Gallery ~ Full Sized Retina Images

Library of Free, Non-Copyrighted Retina Images and Videos

Choose your language:
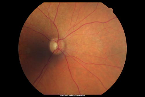
Fundus Photograph  - Enhanced S Cone Syndrome - Goldmann Favre - 
55-year-old woman  while in college her vision was poor even with glasses and she sought evaluation for that.  She was told after she had an electroretinogram at USF 15 years ago, that she had something with her blue cones.  She does have poor night vision, but her reading vision is pretty good. 

VISUAL ACUITY:  OD 20/40,  OS 20/40

Fundus Photograph - Enhanced S Cone Syndrome - Goldmann Favre -

55-year-old woman while in college her vision was poor even with glasses and she sought evaluation for that. She was told after she had an electroretinogram at USF 15 years ago, that she had something with her blue cones. She does have poor night vision, but her reading vision is pretty good.

VISUAL ACUITY: OD 20/40, OS 20/40

normalod_jati11.png csrbilat_scvi05.png azoor1_2days06.jpg angiodstreaksPDO_auwa07.jpg 49211_006.JPG