Retina Gallery ~ Full Sized Retina Images

Library of Free, Non-Copyrighted Retina Images and Videos

Choose your language:
Central Serous Retinopathy Acute - Fundus Autofluorescence
42-year-old man was seen in the office on October 5, 2011.  He had noticed starting in August after a course of antibiotic and steroids, that he developed new spots in his vision in the right eye.  He may have had an episode like this sometime in the past.  He did take steroids a few years ago and his vision did change at that time, but then returned.  

VISUAL ACUITY:  OD 20/32,  OS 20/32

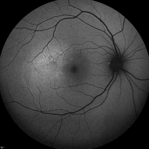
Central Serous Retinopathy Acute - Fundus Autofluorescence

42-year-old man was seen in the office on October 5, 2011. He had noticed starting in August after a course of antibiotic and steroids, that he developed new spots in his vision in the right eye. He may have had an episode like this sometime in the past. He did take steroids a few years ago and his vision did change at that time, but then returned.

VISUAL ACUITY: OD 20/32, OS 20/32

hemicrvo_haha02.jpg csr3faf_dade05.png choroidalsclerosis_diwa_041316_03.png os.jpg ondrusenod_moma03.png