Retina Gallery ~ Full Sized Retina Images
Library of Free, Non-Copyrighted Retina Images and Videos
Home
Contact
About Us
Register
Login
Album list
Last uploads
Last comments
Most viewed
Top rated
My Favorites
By date
Search
FAQ
Choose your language:
FILE 700/17965
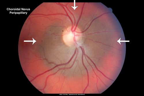
Peripapillary Choroidal Nevus
37-year-old woman was seen in the office on July 27, 2011. She has photographs from 2009 and 2010 showing a peripapillary choroidal nevus in the right eye. VISUAL ACUITY: OD 20/20
File information
Filename:
nevusperipapillary_reco04.jpg
Album name:
scohen125
/
Nevus - Peripapillary
Filesize:
549 KiB
Date added:
Sep 02, 2011
Dimensions:
3500 x 2333 pixels
Displayed:
1033 times
URL:
https://retinagallery.com/displayimage.php?pid=3253
Favorites:
Add to Favorites