Retina Gallery ~ Full Sized Retina Images
Library of Free, Non-Copyrighted Retina Images and Videos
Home
Contact
About Us
Register
Login
Album list
Last uploads
Last comments
Most viewed
Top rated
My Favorites
By date
Search
FAQ
Choose your language:
FILE 325/17965
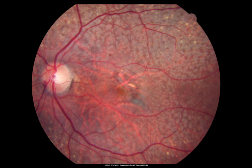
80 year old woman with Reticular Drusen (pseudodrusen) 20/30 Vision
80 year old woman with asteroid hyalosis and macular degeneration.
OPHTHALMIC EXAMINATION: Visual acuity with correction 20/30-3 OD and 20/30-2
File information
Filename:
asteroidprepostop_giri04~0.png
Album name:
scohen125
/
Drusen - Reticular Drusen (Pseudodrusen)
Filesize:
8228 KiB
Date added:
May 13, 2011
Dimensions:
3500 x 2333 pixels
Displayed:
1291 times
URL:
https://retinagallery.com/displayimage.php?pid=2307
Favorites:
Add to Favorites