Retina Gallery ~ Full Sized Retina Images
Library of Free, Non-Copyrighted Retina Images and Videos
Home
Contact
About Us
Register
Login
Album list
Last uploads
Last comments
Most viewed
Top rated
My Favorites
By date
Search
FAQ
Choose your language:
FILE 17956/17965
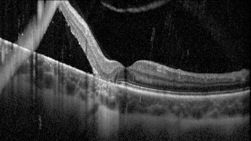
Chronic macula-splitting demarcated retinal detachment
35 year old female with 20/25 vision and noticing something wrong with the superior vision in the right eye for a long time.
File information
Filename:
ChronicRD1_126763_082825_05.jpg
Album name:
scohen125
/
Chronic, Demarcated, Macula-splitting Retinal Detachment
Filesize:
253 KiB
Date added:
Apr 13, 2026
Dimensions:
767 x 432 pixels
Displayed:
6 times
URL:
https://retinagallery.com/displayimage.php?pid=19129
Favorites:
Add to Favorites