Retina Gallery ~ Full Sized Retina Images
Library of Free, Non-Copyrighted Retina Images and Videos
Home
Contact
About Us
Register
Login
Album list
Last uploads
Last comments
Most viewed
Top rated
My Favorites
By date
Search
FAQ
Choose your language:
FILE 17100/17965
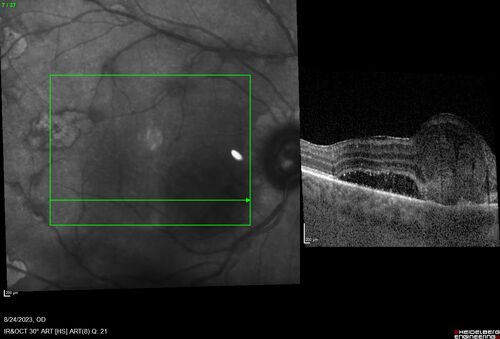
West Nile Virus Multifocal Choroiditis with later CNVM
77 year old female with vision loss in the left eye treated with Anti-VEGF
File information
Filename:
wnile2_115295_082423_26.jpg
Album name:
scohen125
/
West Nile Virus Multifocal Choroiditis with Later CNVM
Filesize:
387 KiB
Date added:
Jan 26, 2025
Dimensions:
1280 x 868 pixels
Displayed:
89 times
URL:
https://retinagallery.com/displayimage.php?pid=18462
Favorites:
Add to Favorites