Retina Gallery ~ Full Sized Retina Images
Library of Free, Non-Copyrighted Retina Images and Videos
Home
Contact
About Us
Register
Login
Album list
Last uploads
Last comments
Most viewed
Top rated
My Favorites
By date
Search
FAQ
Choose your language:
FILE 17043/17965
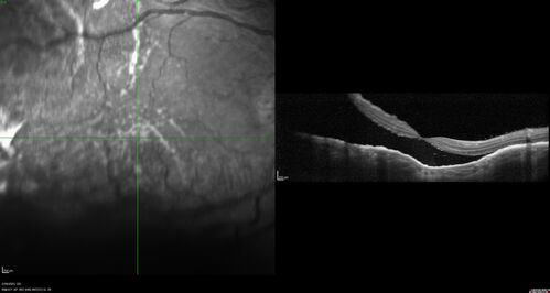
Choroidal Metastatic Breast Cancer with Exudative Detachment
58 year old female presented with 20/200 vision. Had 10 sessions of radiation and tumor shrank. The exudative detachment took almost a year to resolve. The vision improved to 20/40.
File information
Filename:
metastatsis_breast1_114906_032823_15.jpg
Album name:
scohen125
/
Choroidal Metastasis Breast Cancer - Exudative Retinal Detachment
Filesize:
295 KiB
Date added:
Nov 06, 2024
Dimensions:
3072 x 1636 pixels
Displayed:
91 times
URL:
https://retinagallery.com/displayimage.php?pid=18301
Favorites:
Add to Favorites