Retina Gallery ~ Full Sized Retina Images
Library of Free, Non-Copyrighted Retina Images and Videos
Home
Contact
About Us
Register
Login
Album list
Last uploads
Last comments
Most viewed
Top rated
My Favorites
By date
Search
FAQ
Choose your language:
FILE 17012/17965
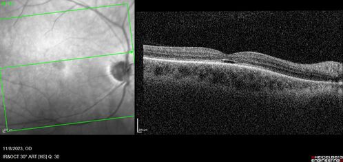
Achromatopsia
28 year old female Good vision since birth started wearing glasses at 2, denies trauma. She does have congenital nystagmus.
VA OD: Dcc20/200-2 PH20/200 NccJ7
VA OS: Dcc20/160 PHNI NccJ7
IOP: TP: OD:15 OS:12
File information
Filename:
achromatopsia_117514_11082023_14.jpg
Album name:
scohen125
/
Achromatopsia
Filesize:
143 KiB
Date added:
Mar 11, 2024
Dimensions:
1264 x 596 pixels
Displayed:
92 times
URL:
https://retinagallery.com/displayimage.php?pid=17788
Favorites:
Add to Favorites