Retina Gallery ~ Full Sized Retina Images
Library of Free, Non-Copyrighted Retina Images and Videos
Accueil
Contact
About Us
Inscription
Connexion
Albums
Derniers ajouts
Derniers commentaires
Les plus populaires
Les mieux notées
Mes favoris
Par date
Rechercher
FAQ
Choisissez votre langue:
Photo 17338/17965
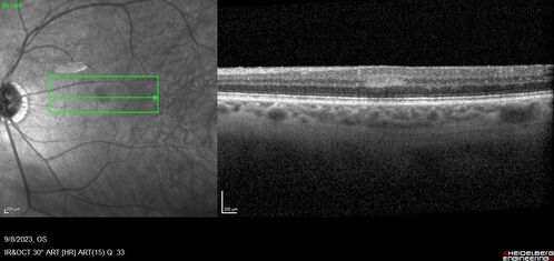
Paracentral acute middle maculopathy - isolated
83 year old man New spot in the vision yesterday left eye.
Medical Hx: Pure Hypercholesterolemia
Systemic Meds: Crestor.
VA OD: Dcc20/20
VA OS: Dcc20/20
IOP: TP: OD:19 OS:10
Informations sur l'image
Nom du fichier:
PAMM_50895_102423_16.jpg
Nom de l'album:
scohen125
/
Isolated PAMM lesion
Taille du fichier:
99 Ko
Date d'ajout:
11 Mars 2024
Dimensions:
1264 x 596 pixels
Affichées:
79 fois
URL:
https://retinagallery.com/displayimage.php?pid=17741
Favoris:
Ajouter aux favoris