Retina Gallery ~ Full Sized Retina Images
Library of Free, Non-Copyrighted Retina Images and Videos
Startseite
Kontakt
About Us
Registrieren
Anmelden
Albenliste
Neueste Uploads
Neueste Kommentare
Am meisten angesehen
Am besten bewertet
Meine Favoriten
Nach Datum
Suche
FAQ
Wähle Sprache:
Datei 16669/17965
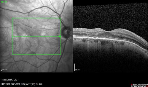
Phototoxicity following cataract surgery
70 year old female with nasal spot in vision since cataract surgery 3 years ago. VA 20/20 OU.
Datei-Information
Dateiname:
light-toxicity_118445_012624_14.jpg
Name des Albums:
scohen125
/
Phototoxicity following cataract surgeryy
Dateigröße:
81 KB
Hinzugefügt am:
14. Februar 2024
Abmessungen:
1008 x 596 Pixel
Angezeigt:
108 mal
URL:
https://retinagallery.com/displayimage.php?pid=17630
Favoriten:
zu Favoriten hinzufügen