Retina Gallery ~ Full Sized Retina Images

Library of Free, Non-Copyrighted Retina Images and Videos

Vali keel:
Retinitis Pigmentosa Sine Pigmento or Unknown Dystrophy - Peripheral Superficial White Spots and Recurrent CME - FA Early
46-year-old woman three of her 5 siblings have been diagnosed with retinitis pigmentosa.  Her mother and father were seen and as far as everyone can tell, neither of them has it, although there was some thought they might be carriers.  They were evaluated twenty five years ago and since then as far as she knows, there has not been a lot of testing done.  

She has noticed a substantial decline in vision in both eyes over the last month or two.   OD 20/40,  OS 20/50.   IOP:  Both eyes have CME

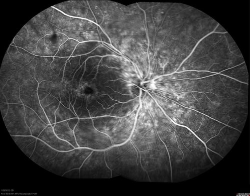
Retinitis Pigmentosa Sine Pigmento or Unknown Dystrophy - Peripheral Superficial White Spots and Recurrent CME - FA Early

46-year-old woman three of her 5 siblings have been diagnosed with retinitis pigmentosa. Her mother and father were seen and as far as everyone can tell, neither of them has it, although there was some thought they might be carriers. They were evaluated twenty five years ago and since then as far as she knows, there has not been a lot of testing done.

She has noticed a substantial decline in vision in both eyes over the last month or two. OD 20/40, OS 20/50. IOP: Both eyes have CME

dystwhitespots_lori_faoct_01231209.jpg dystwhitespots_lori_faoct_01231204.jpg dystwhitespots_lori_faoct_01231210.jpg dystwhitespots_lori_oct_06071240.jpg dystwhitespots_lori_oct_02201237.jpg