Retina Gallery ~ Full Sized Retina Images
Library of Free, Non-Copyrighted Retina Images and Videos
Inicio
Contacto
About Us
Regístrate
Entrar
Lista de álbumes
Últimos archivos
Últimos comentarios
Más vistos
Más valorados
Mis favoritos
Por fecha
Buscar
FAQ
Elige idioma:
Archivo 27/28
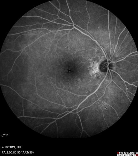
Stellate non-hereditary idiopathic foveomacular retinoschisis (SNIFR) and optic nerve drusen
84 year old man No visual complaints. Not diabetic, cataract surgery 8 years ago. Meds: Omeprazole, Tamsulosin (Flomax)
VA 20/32 OD, 20/20 OS
Informacion de archivo
Nombre del archivo:
SNIFR_nervedrusen_luhil_071819_20.jpg
Nombre de álbum:
scohen125
/
Stellate non-hereditary idiopathic foveomacular retinoschisis right eye - optic nerve drusen left eye
Tamaño del archivo:
271 KiB
Fecha añadida:
Abril 23, 2020
Dimensiones:
768 x 868 píxeles
Visto:
346 visitas
URL:
https://retinagallery.com/displayimage.php?pid=14026
Favoritos:
Añadir a favoritos