Retina Gallery ~ Full Sized Retina Images
Library of Free, Non-Copyrighted Retina Images and Videos
Inicio
Contacto
About Us
Regístrate
Entrar
Lista de álbumes
Últimos archivos
Últimos comentarios
Más vistos
Más valorados
Mis favoritos
Por fecha
Buscar
FAQ
Elige idioma:
Archivo 10/19
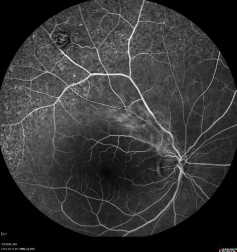
Retinal Capillary Hemangioma - Endophytic and Exophytic
46 year old female with normal vision - her father died of pancreatic cancer
Informacion de archivo
Nombre del archivo:
vhl_suad_020218_15.jpg
Nombre de álbum:
scohen125
/
Retinal Capillary Hemangiomas - Endophytic and exophytic
Tamaño del archivo:
1018 KiB
Fecha añadida:
Febrero 08, 2018
Dimensiones:
1536 x 1636 píxeles
Visto:
499 visitas
URL:
https://retinagallery.com/displayimage.php?pid=10543
Favoritos:
Añadir a favoritos