Retina Gallery ~ Full Sized Retina Images

Library of Free, Non-Copyrighted Retina Images and Videos

Choose your language:
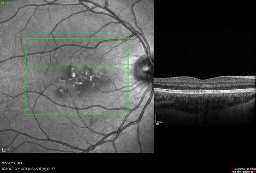
Laser pointer maculopathy
11 year old male When school started the patient noticed that he was having trouble reading and seeing out of both eyes. There are no retinal diseases in the family.
VA OD: sc20/25
VA OS: sc20/40 
TP: OD:19 OS:18 

The FOBSERD ZK-9318 laser pointer is a long range green beam high power flashlight. It has an average power of 60-90 mw. 
You can buy the ZK-9318 laser pointer on Amazon

I also found this:
The FOBSERD ZK-9318 laser pointer is a class III laser with a 532nm wavelength and can be seen up to 1 mile away. It has a maximum power output of 5mW and creates a low-power visible laser beam.

One review on amazon says this:
 Powerful
By Savvy Logic in the United States on March 17, 2023
I measured the wattage at about 150 MW on an optical Power Meter

Laser pointer maculopathy

11 year old male When school started the patient noticed that he was having trouble reading and seeing out of both eyes. There are no retinal diseases in the family.
VA OD: sc20/25
VA OS: sc20/40
TP: OD:19 OS:18 

The FOBSERD ZK-9318 laser pointer is a long range green beam high power flashlight. It has an average power of 60-90 mw.
You can buy the ZK-9318 laser pointer on Amazon

I also found this:
The FOBSERD ZK-9318 laser pointer is a class III laser with a 532nm wavelength and can be seen up to 1 mile away. It has a maximum power output of 5mW and creates a low-power visible laser beam.

One review on amazon says this:
Powerful
By Savvy Logic in the United States on March 17, 2023
I measured the wattage at about 150 MW on an optical Power Meter

laser_116668_090523_24.jpg laser_116668_090523_23.jpg laser_116668_090523_22.jpg laser_116668_090523_21.jpg laser_116668_090523_20.jpg