Retina Gallery ~ Full Sized Retina Images
Library of Free, Non-Copyrighted Retina Images and Videos
Home
Contact
About Us
Register
Login
Album list
Last uploads
Last comments
Most viewed
Top rated
My Favorites
By date
Search
FAQ
Choose your language:
FILE 33/964
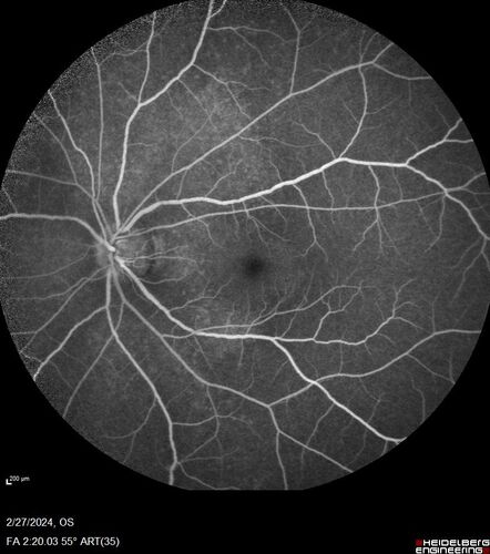
Syphilitic Chorioretinitis
41 year old man with vision loss for five days left eye. VA 20/32, 20/200
File information
Filename:
syphilis1_119238_022724_14.jpg
Album name:
scohen125
/
Syphilitic Chorioretinitis Both Eyes
Filesize:
89 KiB
Date added:
Sep 18, 2024
Dimensions:
768 x 868 pixels
Displayed:
102 times
URL:
https://retinagallery.com/displayimage.php?pid=18178
Favorites:
Add to Favorites