Retina Gallery ~ Full Sized Retina Images
Library of Free, Non-Copyrighted Retina Images and Videos
Home
Contact
About Us
Register
Login
Album list
Last uploads
Last comments
Most viewed
Top rated
My Favorites
By date
Search
FAQ
Choose your language:
FILE 49/964
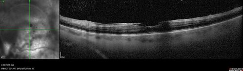
Recurrent toxoplasmosis
63 year old female with history of floaters and vision loss in the left eye.
File information
Filename:
toxo-recurrent_110937_04262022_06.jpg
Album name:
scohen125
/
Toxoplasmosis - Recurrent
Filesize:
208 KiB
Date added:
Sep 18, 2024
Dimensions:
2032 x 596 pixels
Displayed:
97 times
URL:
https://retinagallery.com/displayimage.php?pid=18162
Favorites:
Add to Favorites