Retina Gallery ~ Full Sized Retina Images

Library of Free, Non-Copyrighted Retina Images and Videos

Choose your language:
Syphilitic optic neuritis
Two weeks ago she woke up with blurred vision in the left eye.  She usually gets up at 5 AM.  Then she noticed a gray spot in the left eye that did not go away.  This is new for her.  The gray spot is not getting any better or worse in the left eye. (4/4/23)
Systemic Meds: Lisinopril 40 mg. metformin hydrochloride 1000 MG. nifedipine 30mg 
VA OD: sc20/80 PH20/50 NscJ10
VA OS: sc2'/200 Nsc20/400
IOP: TP: OD:15 OS:16 
No AC or vitreous cells - later images was with second eye involved with uveitis.  Patient received IV PCN and was lost to follow-up

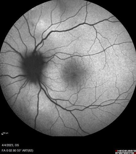
Syphilitic optic neuritis

Two weeks ago she woke up with blurred vision in the left eye. She usually gets up at 5 AM. Then she noticed a gray spot in the left eye that did not go away. This is new for her. The gray spot is not getting any better or worse in the left eye. (4/4/23)
Systemic Meds: Lisinopril 40 mg. metformin hydrochloride 1000 MG. nifedipine 30mg
VA OD: sc20/80 PH20/50 NscJ10
VA OS: sc2'/200 Nsc20/400
IOP: TP: OD:15 OS:16
No AC or vitreous cells - later images was with second eye involved with uveitis. Patient received IV PCN and was lost to follow-up

syph-on1_caarc_040423_18.jpg syph-on1_caarc_040423_17.jpg syph-on1_caarc_040423_16.jpg syph-on1_caarc_040423_15.jpg syph-on1_caarc_040423_14.jpg