Retina Gallery ~ Full Sized Retina Images

Library of Free, Non-Copyrighted Retina Images and Videos

Choose your language:
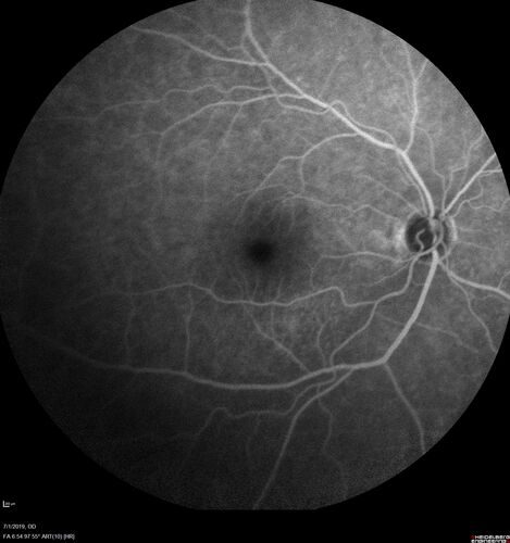
Ocular Lymphoma - Initially presented like auto-immune retinopathy
43 year old man: initial presentation - The vision in the left eye is blurry and opaque for about 2 weeks.  In the central of the vision, when he covers the right eye, in the center of the left eye there is a film with a light in the middle.  This has never happened before.  He has not been sick for the last few months.  A few weeks ago he saw waves on the floor when looking down but that has gone away.  Since the vision loss started the vision has not changed much.  The central vision is not getting better.  
PMHx – Borderline HTN
VA OD: Dcc20/20
VA OS: Dcc20/40-1 IOP: TP: OD:15 OS:19
1+ NS 
No uveitis
Labs normal.  One positive antiretinal antibody - Arrestin
VA improved over 2 months to normal.  Then the patient had 2 more episodes of self-limited vision loss (no treatment).  Then 2 years later he presented with a diagnosis of CNS lymphoma and later developed subretinal deposits (last images)

Ocular Lymphoma - Initially presented like auto-immune retinopathy

43 year old man: initial presentation - The vision in the left eye is blurry and opaque for about 2 weeks.  In the central of the vision, when he covers the right eye, in the center of the left eye there is a film with a light in the middle.  This has never happened before.  He has not been sick for the last few months.  A few weeks ago he saw waves on the floor when looking down but that has gone away.  Since the vision loss started the vision has not changed much.  The central vision is not getting better.  
PMHx – Borderline HTN
VA OD: Dcc20/20
VA OS: Dcc20/40-1 IOP: TP: OD:15 OS:19
1+ NS
No uveitis
Labs normal. One positive antiretinal antibody - Arrestin
VA improved over 2 months to normal. Then the patient had 2 more episodes of self-limited vision loss (no treatment). Then 2 years later he presented with a diagnosis of CNS lymphoma and later developed subretinal deposits (last images)

lymphoma1_caflo_07012019_16.jpg lymphoma1_caflo_07012019_15.jpg lymphoma1_caflo_07012019_14.jpg lymphoma1_caflo_07012019_13.jpg lymphoma1_caflo_07012019_12.jpg