Retina Gallery ~ Full Sized Retina Images
Library of Free, Non-Copyrighted Retina Images and Videos
Home
Contact
About Us
Register
Login
Album list
Last uploads
Last comments
Most viewed
Top rated
My Favorites
By date
Search
FAQ
Choose your language:
FILE 112/293
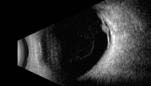
Retinal Angioma
53 year old female with no-symptoms and no significant medical history (or family history)
File information
Filename:
Angioma_litom_051121_19.PNG
Album name:
scohen125
/
Retinal Angioma with Exudates
Filesize:
139 KiB
Date added:
Sep 12, 2021
Dimensions:
542 x 311 pixels
Displayed:
276 times
URL:
https://retinagallery.com/displayimage.php?pid=15073
Favorites:
Add to Favorites