Retina Gallery ~ Full Sized Retina Images
Library of Free, Non-Copyrighted Retina Images and Videos
Home
Contact
About Us
Register
Login
Album list
Last uploads
Last comments
Most viewed
Top rated
My Favorites
By date
Search
FAQ
Choose your language:
FILE 400/576
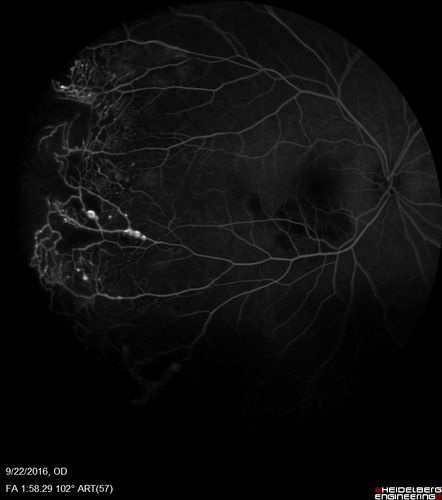
Coats' Disease - 14 year old - Asymptomatic
Presented with macular exudates. Temporal macroaneurysms responded to laser. Ultra-wide field FA shows nonperfusion
File information
Filename:
coats_jobr_092216_17.jpg
Album name:
scohen125
/
Coats' Disease - 14 year old - Macular Exudates
Filesize:
202 KiB
Date added:
Nov 07, 2016
Dimensions:
768 x 868 pixels
Displayed:
554 times
URL:
https://retinagallery.com/displayimage.php?pid=9398
Favorites:
Add to Favorites