Retina Gallery ~ Full Sized Retina Images
Library of Free, Non-Copyrighted Retina Images and Videos
Inicio
Contacto
About Us
Regístrate
Entrar
Lista de álbumes
Últimos archivos
Últimos comentarios
Más vistos
Más valorados
Mis favoritos
Por fecha
Buscar
FAQ
Elige idioma:
Archivo 209/576
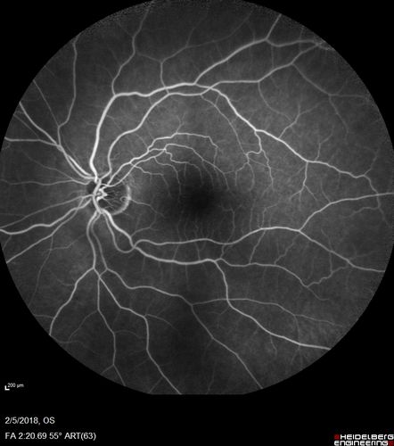
Coats Disease - Parafoveal Telangiectasis Type I - Right Eye
67 year old man with long history of vision loss in the right eye. Previously treated with laser, avastin. VA 20/200.
Informacion de archivo
Nombre del archivo:
coats_remil_020518_16.jpg
Nombre de álbum:
scohen125
/
Coats Disease - Parafoveal Telangiectasis Type I
Tamaño del archivo:
296 KiB
Fecha añadida:
Febrero 11, 2020
Dimensiones:
768 x 868 píxeles
Visto:
370 visitas
URL:
https://retinagallery.com/displayimage.php?pid=13424
Favoritos:
Añadir a favoritos