Retina Gallery ~ Full Sized Retina Images
Library of Free, Non-Copyrighted Retina Images and Videos
Home
Contact
About Us
Register
Login
Album list
Last uploads
Last comments
Most viewed
Top rated
My Favorites
By date
Search
FAQ
Choose your language:
FILE 245/576
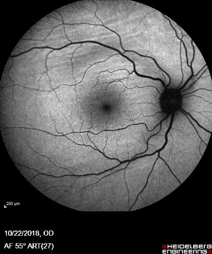
Nanophthalmous with Choroidal Folds
71 year old female with 20/20 vision and worsening cataracts. There is also a CHRPE lesion in the periphery
File information
Filename:
nan_folds_yvdu_102218_11.jpg
Album name:
scohen125
/
Nanophthalmous - Choroidal Folds
Filesize:
190 KiB
Date added:
Apr 06, 2019
Dimensions:
496 x 596 pixels
Displayed:
363 times
URL:
https://retinagallery.com/displayimage.php?pid=12156
Favorites:
Add to Favorites