Retina Gallery ~ Full Sized Retina Images
Library of Free, Non-Copyrighted Retina Images and Videos
Home
Contact
About Us
Register
Login
Album list
Last uploads
Last comments
Most viewed
Top rated
My Favorites
By date
Search
FAQ
Choose your language:
FILE 687/1395
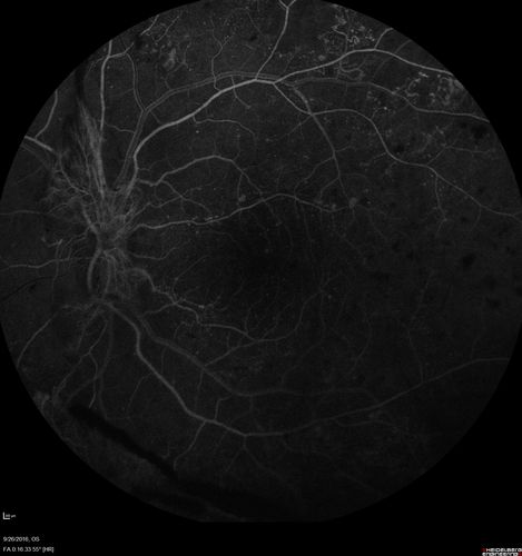
PDR NVD left eye and NVE right eye
41 year old diabetic woman with PDR in both eyes. High risk in the left eye. She had PRP, Avastin, and vitrectomy x 2 in the left eye with final vision of 20/25. The right eye had eventually PRP laser
File information
Filename:
pdr_belu_092616_28.jpg
Album name:
scohen125
/
Proliferative Diabetic Retinopathy NVD left eye and NVE right eye - Ultrawide field FA
Filesize:
1291 KiB
Date added:
Apr 07, 2017
Dimensions:
1536 x 1636 pixels
Displayed:
397 times
URL:
https://retinagallery.com/displayimage.php?pid=9644
Favorites:
Add to Favorites