Retina Gallery ~ Full Sized Retina Images
Library of Free, Non-Copyrighted Retina Images and Videos
Home
Contact
About Us
Register
Login
Album list
Last uploads
Last comments
Most viewed
Top rated
My Favorites
By date
Search
FAQ
Choose your language:
FILE 1319/1395
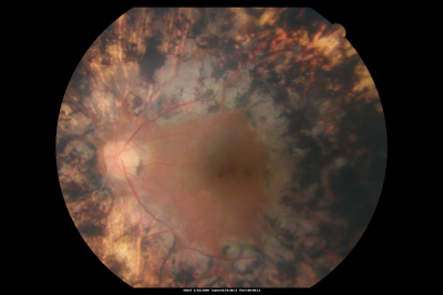
PDR with heavy PRP laser and worsening macular edema
51-year-old woman has had extensive laser in both eyes done years ago elsewhere. Her left eye has gradually been declining with macular edema.
VISUAL ACUITY: OD 20/40, OS 20/40
File information
Filename:
pdr_heavyprp_28129.png
Album name:
scohen125
/
Laser - Panretinal Photocoagulation - Heavy and Macular Edema
Filesize:
6980 KiB
Date added:
Oct 30, 2010
Dimensions:
3500 x 2333 pixels
Displayed:
1098 times
URL:
https://retinagallery.com/displayimage.php?pid=249
Favorites:
Add to Favorites