Retina Gallery ~ Full Sized Retina Images
Library of Free, Non-Copyrighted Retina Images and Videos
Startseite
Kontakt
About Us
Registrieren
Anmelden
Albenliste
Neueste Uploads
Neueste Kommentare
Am meisten angesehen
Am besten bewertet
Meine Favoriten
Nach Datum
Suche
FAQ
Wähle Sprache:
Datei 55/1395
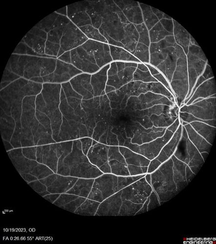
Prethreshold PDR right eye - mild NVD
Datei-Information
Dateiname:
pdr_113049_101923_10.jpg
Name des Albums:
scohen125
/
Pre-Threhold PDR right eye NVD
Dateigröße:
82 KB
Hinzugefügt am:
23. Dezember 2024
Abmessungen:
768 x 868 Pixel
Angezeigt:
96 mal
URL:
https://retinagallery.com/displayimage.php?pid=18424
Favoriten:
zu Favoriten hinzufügen