Retina Gallery ~ Full Sized Retina Images

Library of Free, Non-Copyrighted Retina Images and Videos

Choose your language:
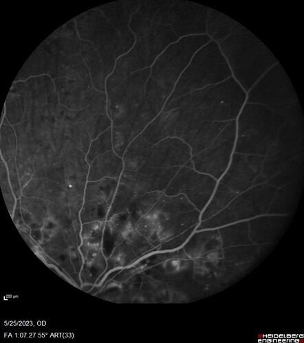
Siegrist Streaks and severe diabetic macular edema
56 year old female who presents four years after developing necrotizing fascitis and multiple organ failure from an infected foot from a roofing nail.  Her vision was 20/100 OU.  She has multiple peripheral pigment spots consistent with Siegrist streaks.

Siegrist Streaks and severe diabetic macular edema

56 year old female who presents four years after developing necrotizing fascitis and multiple organ failure from an infected foot from a roofing nail. Her vision was 20/100 OU. She has multiple peripheral pigment spots consistent with Siegrist streaks.

dme_htn-choroid_padod1_052523_09.jpg dme_htn-choroid_padod1_052523_25.jpg dme_htn-choroid_padod1_052523_24.jpg dme_htn-choroid_padod1_052523_23.jpg dme_htn-choroid_padod1_052523_22.jpg