Retina Gallery ~ Full Sized Retina Images

Library of Free, Non-Copyrighted Retina Images and Videos

Choose your language:
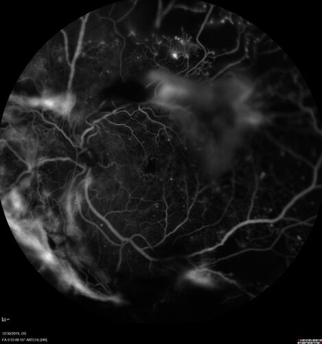
Severe diabetic tractional retinal detachment one year following diagnosis of type II Diabetes Mellitus
44 year old man The vision in the left eye started to decline about 4 days ago.  Prior to that the left eye was the better eye.  He was diagnosed with diabetes a year ago.  
VA OD: Dcc20/50-1 OS: Dcc20/125-2, TP: OD:12 OS:13

Following two surgeries in each eye, silicone oil remaining forever, monthly anti-VEGF for severe DME - BCVA OU 20/200 at 3 years

Severe diabetic tractional retinal detachment one year following diagnosis of type II Diabetes Mellitus

44 year old man The vision in the left eye started to decline about 4 days ago.  Prior to that the left eye was the better eye.  He was diagnosed with diabetes a year ago. 
VA OD: Dcc20/50-1 OS: Dcc20/125-2, TP: OD:12 OS:13

Following two surgeries in each eye, silicone oil remaining forever, monthly anti-VEGF for severe DME - BCVA OU 20/200 at 3 years

PDR-TRD_chlaw1_12302019_20.jpg PDR-TRD_chlaw1_12302019_19.jpg PDR-TRD_chlaw1_12302019_18.jpg PDR-TRD_chlaw1_12302019_17.jpg PDR-TRD_chlaw1_12302019_15.jpg