Retina Gallery ~ Full Sized Retina Images
Library of Free, Non-Copyrighted Retina Images and Videos
Home
Contact
About Us
Register
Login
Album list
Last uploads
Last comments
Most viewed
Top rated
My Favorites
By date
Search
FAQ
Choose your language:
FILE 630/1395
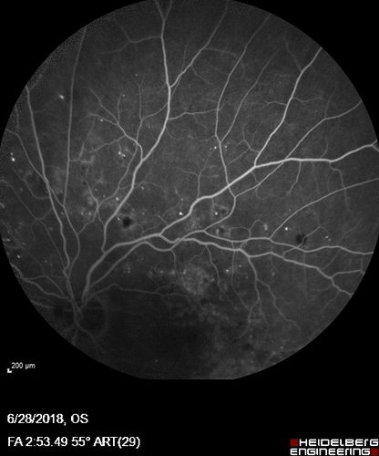
Diabetic Macular Edema with Exudates
Patient did not want injection therapy and did well with laser
File information
Filename:
npdr_thwr_062818_17.jpg
Album name:
scohen125
/
Diabetic Macular Edema - BDR - Exudates
Filesize:
152 KiB
Date added:
Nov 06, 2018
Dimensions:
496 x 596 pixels
Displayed:
405 times
URL:
https://retinagallery.com/displayimage.php?pid=11297
Favorites:
Add to Favorites