Retina Gallery ~ Full Sized Retina Images
Library of Free, Non-Copyrighted Retina Images and Videos
Home
Contact
About Us
Register
Login
Album list
Last uploads
Last comments
Most viewed
Top rated
My Favorites
By date
Search
FAQ
Choose your language:
FILE 639/1395
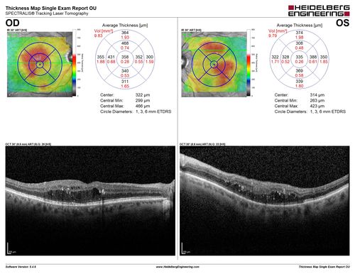
Diabetic Macular Edema with Exudates
Patient did not want injection therapy and did well with laser
File information
Filename:
npdr_thwr_062818_08.JPG
Album name:
scohen125
/
Diabetic Macular Edema - BDR - Exudates
Filesize:
1542 KiB
Date added:
Nov 06, 2018
Dimensions:
2112 x 1632 pixels
Displayed:
450 times
URL:
https://retinagallery.com/displayimage.php?pid=11288
Favorites:
Add to Favorites