Retina Gallery ~ Full Sized Retina Images

Library of Free, Non-Copyrighted Retina Images and Videos

Choose your language:
PDR - Mild Vitreous Hemorrhage and Good Vision
58-year-old woman has diabetic retinopathy in both eyes with neovascularization of the optic nerve, worse in the right eye than the left eye.  She has had panretinal laser in both eyes and vitreous hemorrhage in the left eye.  Her vision, since I saw her last in June, is about the same.  

VISUAL ACUITY:  Vision OD is 20/25, OS is 20/20.

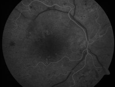
PDR - Mild Vitreous Hemorrhage and Good Vision

58-year-old woman has diabetic retinopathy in both eyes with neovascularization of the optic nerve, worse in the right eye than the left eye. She has had panretinal laser in both eyes and vitreous hemorrhage in the left eye. Her vision, since I saw her last in June, is about the same.

VISUAL ACUITY: Vision OD is 20/25, OS is 20/20.

pdr_66200_28829.jpg pdr_66200_28729.jpg pdr_66200_28629.jpg pdr_66200_28529.jpg pdr_66200_28429.jpg