Retina Gallery ~ Full Sized Retina Images

Library of Free, Non-Copyrighted Retina Images and Videos

Choose your language:
Lupus Retinopathy
Female patient comes in for eval on Lupus Retinopathy. Has poor vision in the right eye. VA is hand motion in the right eye. Fundus photos show fibrosis along the temporal arcades and narrowing of the arteries. No macular edema found.

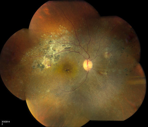
Lupus Retinopathy

Female patient comes in for eval on Lupus Retinopathy. Has poor vision in the right eye. VA is hand motion in the right eye. Fundus photos show fibrosis along the temporal arcades and narrowing of the arteries. No macular edema found.

sickle_moda_102314_02.png sickle_moda_102314_01.png 51105_002.JPG 51105_003.JPG 51085_012.JPG