Retina Gallery ~ Full Sized Retina Images
Library of Free, Non-Copyrighted Retina Images and Videos
Home
Contact
About Us
Register
Login
Album list
Last uploads
Last comments
Most viewed
Top rated
My Favorites
By date
Search
FAQ
Choose your language:
FILE 814/844
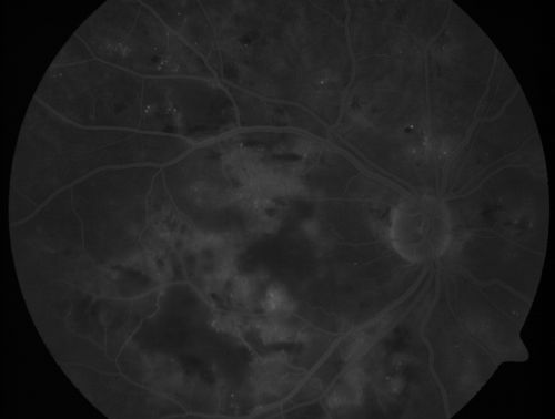
Diabetic Patient with Macular Edema and Blood Pressure 200/95
49-year-old decreasing vision over the last year. OD is 20/80, OS 20/80. blood pressure which was 200/95.
File information
Filename:
dmhypertensiveretin_61852sufr_281429.jpg
Album name:
scohen125
/
Hypertensive Retinopathy in a Diabetic
Keywords:
macular edema
/
cotton wool spots
/
diabetic
/
hypertensive
Filesize:
472 KiB
Date added:
Nov 13, 2010
Dimensions:
2588 x 1958 pixels
Displayed:
651 times
URL:
https://retinagallery.com/displayimage.php?pid=676
Favorites:
Add to Favorites