Retina Gallery ~ Full Sized Retina Images
Library of Free, Non-Copyrighted Retina Images and Videos
Home
Contact
About Us
Register
Login
Album list
Last uploads
Last comments
Most viewed
Top rated
My Favorites
By date
Search
FAQ
Choose your language:
FILE 229/844
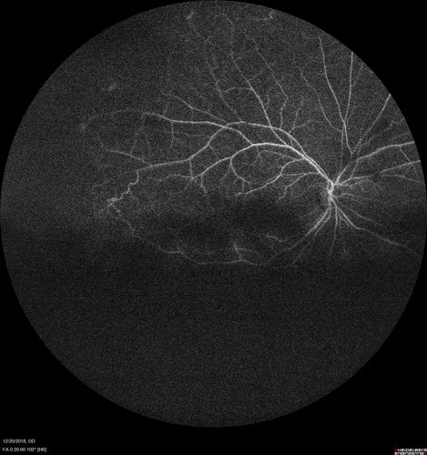
Sickle Retinopathy - Chronic retinal detachment OS - Proliferation OD
40 year old with known SC disease. Failed to return 4 years ago for treatment and lost ision in the left eye. Then returned for one visit and refused further treatment.
File information
Filename:
sickle_disa_122018_24.jpg
Album name:
scohen125
/
Sickle Retinopathy - Macula-off Detachment Right Eye
Filesize:
2034 KiB
Date added:
Jan 28, 2019
Dimensions:
1536 x 1636 pixels
Displayed:
406 times
URL:
https://retinagallery.com/displayimage.php?pid=11901
Favorites:
Add to Favorites