Retina Gallery ~ Full Sized Retina Images
Library of Free, Non-Copyrighted Retina Images and Videos
Home
Contact
About Us
Register
Login
Album list
Last uploads
Last comments
Most viewed
Top rated
My Favorites
By date
Search
FAQ
Choose your language:
FILE 551/4332
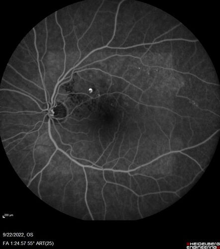
BRVO with late onset venous macroaneurysm
The vision improved on presentation from 20/160 - 20/32 with Avastin, Then a few years later, he developed a venous Macroaneurysm which was lasered . Avastin shots were then stopped.
File information
Filename:
rvo-venousMA-pepiaz_23.jpg
Album name:
scohen125
/
BRVO with Venous Macroaneurysm - Lasewr
Filesize:
58 KiB
Date added:
Mar 19, 2023
Dimensions:
768 x 868 pixels
Displayed:
200 times
URL:
https://retinagallery.com/displayimage.php?pid=16926
Favorites:
Add to Favorites