Retina Gallery ~ Full Sized Retina Images

Library of Free, Non-Copyrighted Retina Images and Videos

Choose your language:
Branch Retinal Vein Occlusion with Neovascularization Elsewhere and Vitreous Hemorrhage
57 year old man New floaters in the left eye about a month ago.  Now they are getting better.  PMHx A-Fib on Pradaxa
VA 20/32 OD, 20/40 OS
1+ NS OU
BP 137/77, 200LBs, 5’8”

PRP laser was done

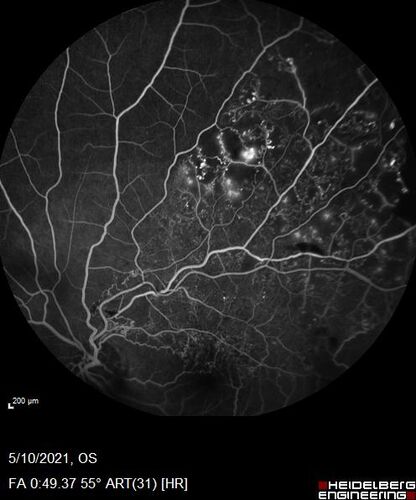
Branch Retinal Vein Occlusion with Neovascularization Elsewhere and Vitreous Hemorrhage

57 year old man New floaters in the left eye about a month ago. Now they are getting better. PMHx A-Fib on Pradaxa
VA 20/32 OD, 20/40 OS
1+ NS OU
BP 137/77, 200LBs, 5’8”

PRP laser was done

BRVO_dabell1_051021_11.jpg BRVO_dabell1_051021_01.jpg BRVO_dabell1_051021_10.jpg BRVO_dabell1_051021_09.jpg BRVO_dabell1_051021_08.jpg