Retina Gallery ~ Full Sized Retina Images
Library of Free, Non-Copyrighted Retina Images and Videos
Home
Contact
About Us
Register
Login
Album list
Last uploads
Last comments
Most viewed
Top rated
My Favorites
By date
Search
FAQ
Choose your language:
FILE 17965/17965
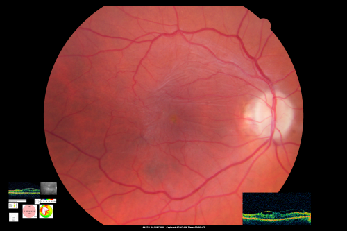
Macular Pucker
Fundus photo with OCT superimposed, 20/100 macular pucker
File information
Filename:
puckerpreopnietor.png
Album name:
scohen125
/
Macular Pucker
Keywords:
macular pucker
Attribution (if wanted) enter name or institution here: :
macular pucker
Device with which Image was Captured::
70 year old white male 20/100 visual acuity for 3 months
Filesize:
6211 KiB
Date added:
Oct 22, 2010
Dimensions:
3000 x 2000 pixels
Displayed:
798 times
URL:
https://retinagallery.com/displayimage.php?pid=3
Favorites:
Add to Favorites