Retina Gallery ~ Full Sized Retina Images
Library of Free, Non-Copyrighted Retina Images and Videos
Home
Contact
About Us
Register
Login
Album list
Last uploads
Last comments
Most viewed
Top rated
My Favorites
By date
Search
FAQ
Choose your language:
FILE 68/17965
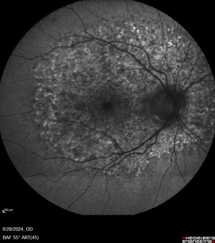
Elmiron (pentasosan polysulfate) Macular Toxicity
77 year old female who had been on Elmiron for 20 years and stopped it 2 years ago
File information
Filename:
Elmiron_120641_062824_08.jpg
Album name:
scohen125
/
Elmiron Toxicity
Filesize:
82 KiB
Date added:
Mar 15, 2026
Dimensions:
768 x 868 pixels
Displayed:
36 times
URL:
https://retinagallery.com/displayimage.php?pid=19088
Favorites:
Add to Favorites