Retina Gallery ~ Full Sized Retina Images
Library of Free, Non-Copyrighted Retina Images and Videos
Home
Contact
About Us
Register
Login
Album list
Last uploads
Last comments
Most viewed
Top rated
My Favorites
By date
Search
FAQ
Choose your language:
FILE 93/17726
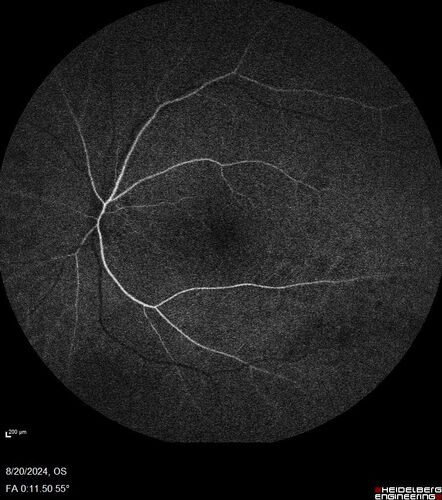
Severe NPDR with non-perfusion on FA
64 year old man with 20/32 vision in both eyes and mild blurring. FA shows non-perfusion but no proliferation
File information
Filename:
NPDR-non-perfusion_103200_082024_13.jpg
Album name:
scohen125
/
Severe NPDR with non-perfusion
Filesize:
143 KiB
Date added:
Nov 23, 2025
Dimensions:
768 x 868 pixels
Displayed:
25 times
URL:
https://retinagallery.com/displayimage.php?pid=18822
Favorites:
Add to Favorites